AI-enabled radiotherapy and immune-preserving oncology research.From EDIC and iOAR metrics to integrative, TCM-informed supportive care

Azure Research Institute is a clinician-led research and innovation group focused on AI-enabled radiation oncology and immune-preserving cancer care. Dr.Yan, Dr.Yang and Dr.Mourad are some of the core founders.

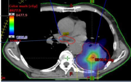
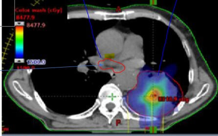
. SaMD, EDIC/iOAR Modeling & Risk Prediction
. Phase II Lung Cancer Clinical Trial
. SCART
. TCM
We are actively seeking collaborators who share our goal of making radiation therapy safer and more intelligent, including:Clinical departments interested in lymphocyte-sparing and immune-aware planning;Technology companies developing TPS, AI contouring, or QA platforms;Academic groups working on AI, dosimetry modeling, immunology, or integrative oncology;Non-profit and global health organizations focused on cancer care in low- and middle-income countries.
We are actively seeking collaborators who share our goal of making radiation therapy safer and more intelligent, including:
Clinical departments interested in lymphocyte-sparing and immune-aware planning;
Technology companies developing TPS, AI contouring, or QA platforms;
Academic groups working on AI, dosimetry modeling, immunology, or integrative oncology;
Non-profit and global health organizations focused on cancer care in low- and middle-income countries.
Examples of collaboration models: Joint protocol development and clinical trials,
Methodology and algorithm co-development,
Multi-center data analysis projects,
Educational programs and workshops.T
TCM treament SOP